インプラント
IMPLANT

インプラントで
天然歯に近い咬み心地へ
インプラント~咬めるお口もとへ~
歯を失ったときに、天然歯のような見た目と機能性がよみがえる治療として、近年インプラント治療が注目を集めています。
従来の欠損歯の治療には、入れ歯やブリッジなどの選択肢がありました。それらの治療法よりも、インプラントは自然な感覚と優れた審美性を実現しています。そのことからインプラントは「第二の永久歯」とも呼ばれています。
板橋区にお住まいの方で、インプラント治療をお考えなら、ぜひ「遊座大山デンタルオフィス」にお越しください。当院はあなたの口元の健康と美しさを、インプラントの力でサポートいたします。
インプラントについて
インプラントとは

インプラント治療とは、入れ歯やブリッジに続いて登場した、補綴(ほてつ)治療のひとつです。歯を失った顎の骨に人工歯根(インプラント)を埋め込み、上部に人工歯を取り付けます。これまでの治療法と比較したときに多くのメリットがあることから、治療を希望される患者さんが増えてきているのです。
- 治療期間
- 3ヵ月~半年
- 回数
- 約10回
インプラント治療のメリット
インプラント治療にはこれまでの補綴治療にはなかった、多くの魅力があります。
- Merit.01
天然歯に近い咬み心地が手に入る
顎の骨と、生体親和性の高いチタン製人工歯根が結びつくことで、固い物でも咬める力がよみがえります。
- Merit.02
天然歯と同等以上の見た目に仕上がる
本物の歯に近い透明感と強度を持つセラミック素材の人工歯は、見た目に美しく自然な仕上がりです。
- Merit.03
周囲の歯に負担をかけない
入れ歯やブリッジのように周囲の歯を支えとせず、他の歯の寿命を縮めることがありません。
- Merit.04
顎の骨が痩せづらい
顎の骨とインプラントが強く結び付いているため、咬んだときの刺激が伝わりやすく、顎の骨が痩せづらくなります。
入れ歯とブリッジとの比較
※スライドします
| インプラント | 入れ歯 | ブリッジ | |
|---|---|---|---|
| イメージ |
![]() |
![]() |
![]() |
| 特徴 | 歯を失った箇所の顎の骨にチタン製の人工歯根を埋め込み、上部に人工歯を取り付ける方法。 | 歯を失った部分に、取り外し可能な義歯を装着する方法。補綴治療の中でも、もっとも長い歴史がある。 | 失った歯の両隣の歯を支えとして、橋を架けるように連結した人工歯を装着する方法。 |
| メリット |
|
|
|
| デメリット |
|
|
|
安心のインプラント治療のために
インフォームド・コンセントの徹底

当院では、通常の歯科治療でもインフォームド・コンセントを重視していますが、インプラント治療においては特に患者さんへの「説明と同意」を徹底しております。治療内容をしっかりご理解いただくことにより、インプラント治療の普及によって起こりがちな、さまざまなトラブルの回避につなげているのです。無理にインプラントをすすめることはありませんので、ご安心ください。
歯科用CTを用いた正確な検査

インプラント治療を成功に導くためには、歯科医師の知識や技術はもちろんのこと、高度な医療機器が必要です。特に、歯科用CTによる精密な検査は欠かせない条件といってもよいでしょう。
当院でもこれに倣い、歯科用CTを導入。CTでは、肉眼では確認できない部分までコンピュータ上で立体画像として再現できます。顎の骨の幅、厚み、奥行きや骨量、周辺の神経や血管の走り方をしっかり把握できることから、成功率の高いインプラント埋入が実現するのです。
技工所と密なコミュニケーション

歯科技工所とは、詰め物・被せ物、仮歯・人工歯などを患者さんの歯型からオーダーメイドで作り出す機関。
通常は、患者さんのお口の中を実際に見ることなく作製に入ってもらうのですが、当院では、初診時から治療に介入してもらい作製にあたってもらっています。患者さんと歯科医師だけの関係にとどまらず、歯科技工士を含む三者のコミュニケーションを密にとることで、より満足度の高い技工物のご提供を短期間で実現しています。
特殊なケースのインプラント治療にも対応

インプラント治療は自費診療となるため、歯科医院によって値段が異なります。当院では患者さんに安心していただけるよう、インプラント料金の中にすべての処置・技工物が含まれた価格をご提示します。適切な治療を適切な料金で受けていただけます。
治療費例
1本462,000円~495,000円
インプラント手術代、術前・術後のCT撮影など各種精密検査レーザー治療、被せ物(選択可)を含む
※骨量が少ない場合の手術・処置を行った場合、一部の処置は費用は変わらない場合もあります
インプラント治療は医療費控除の対象となりますので、詳しくはスタッフにおたずねください。
当院のおすすめするインプラントについて

当院では、信頼と実績のあるインプラントメーカーから、患者さんのお口の状況に合わせたストローマンインプラントをご提案しています。スイスで開発されたインプラントで、現在では70か国以上の国で使用されています。50年にわたる開発研究と精密な検査を行っているため質の高い製品を提供しています。
ストローマンのインプラントは、5年後、10年後も安定性が高く、多くの国で厚い信頼を得ています。また、比較的短いインプラントもあるため、顎が小さい日本人に適しており、日本国内でも多くの医院で使用されています。
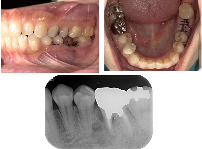
症例紹介
-
before

-
after

| 年齢・性別 | 47歳・女性 |
|---|---|
| 主訴 | 時々腫れるということで来院。歯根破折を認め、抜歯適応となった。欠損部分のインプラントを希望。 |
| 治療内容 | 抜歯を行い骨ができるのを待って、3ヶ月後インプラント体を埋入。更に2ヶ月後、2次オペを行い、インプラント体と骨の結合を確認したのち被せ物の型取りを行った。 その後、最終補綴物を装着した。 |
| 治療期間 | 約半年(9回) |
| 費用 | インプラント体:330,000円(税込み) 補綴物(ジルコニア)132,000円(税込み) コラーゲン使用吸収性局所止血材:4,400円(税込み) |
| リスク・副作用 | インプラント手術後は反応性の出血・腫れ・あざがでる場合がありますが、時間の経過とともに治ります。保険適応外なので、自由診療となります。 |
当院のインプラント治療メニュー
当院では、1本からできるインプラント治療から、インプラント技術を応用した特殊なインプラントの治療も行っております。一人ひとりの患者さんの状況やご希望に応じて、最善と思われるインプラント治療をご提案いたしますので、お気軽にご相談ください。

抜歯即時インプラント
抜歯せざるをえない歯がある場合、抜歯と同時に人工歯根を埋入する方法です。その日のうちに仮歯が入れられ、歯がない期間がありません。
当院では抜歯即時インプラントに特に力を入れておりますので、お気軽にご連絡ください。
- 治療期間
- 3ヵ月~半年
- 回数
- 約10回
- 費用
- 462,000円~495,000円(税込)
Merit メリット
- 抜歯と同時にインプラント埋入するので治療期間が短く済む
- 手術当日に仮歯が入れられるので、歯がない期間がない
- ドリルで骨を削る範囲が少ない
- 本来は2回手術するところが1回で済むので身体的、精神的負担が少ない
- 歯肉など軟組織の形態を維持しやすい
Demerit デメリット
- 保険が適用できないため自費診療になる
- 抜歯後の状態によっては、即時のインプラント埋入が困難と判断されるケースもある

インプラントオーバーデンチャー
最少4本のインプラント埋入で、総入れ歯(下顎)を固定する方法です。入れ歯がズレることがなく、取り外し可能ですのでお手入れも比較的楽に行えます。
- 治療期間
- 3ヵ月~半年
- 回数
- 約10回
- 費用
- 1,760,000円~2,178,000円(税込)
Merit メリット
- 少数のインプラントで、多数の欠損歯に対応できるため、費用対効果に優れている
- 広範囲の歯の欠損にも対応しやすく、骨移植などの追加処置を回避できる可能性がある
- 取り外しが可能なため、清掃やメインテナンスが容易
Demerit デメリット
- 保険が適用できないため自費診療になる
- 義歯なので、取り外しを必要とする
- 装着直後は、入れ歯による歯ぐきの痛みや不快感を伴うことがある
骨が薄い場合でも受けられるための処置

骨造成
インプラントを顎骨に埋入する際、骨量が不足していると、安定性や審美性に問題が生じる可能性があります。そこで、不足分の骨を移植や再生によって補うのが骨造成手術です。治療期間は延びてしまいますが、安全かつ確実にインプラント治療を終えられる可能性が高まります。
- 治療期間
- 3ヵ月~半年
- 回数
- 1回
- 費用
- 55,000円~110,000円(税込)
Merit メリット
- インプラント治療の安全性と予知性が向上する
- 歯肉のラインなどが改善され、審美性が高まる
Demerit デメリット
- 保険が適用できないため自費診療になる
- 骨造成を行うことで、治療期間が長くなる場合がある
- 手術後に疼痛や腫脹などの症状が出現する可能性がある
サイナスリフト
上顎の骨量が少ない場合、上顎の骨の上部にある上顎洞(じょうがくどう)へ骨補填材を入れる方法です。歯ぐきの横から上顎洞底を持ち上げ、できた隙間に骨補填を行います。
※別途費用が110,000円(税込) ~上限額は状況によって変動する可能性があります。
- 治療期間
- 4ヵ月~6ヵ月
- 回数
- 2~3回
- 費用
- 110,000円~220,000円(税込)
Merit メリット
- 鼻づまりや副鼻腔炎の症状を改善することができる
- 鼻の通り道を広げることで、呼吸がスムーズになり、睡眠の質が向上する
- 鼻づまりによる頭痛や疲労感が軽減される
Demerit デメリット
- 保険が適用できないため自費診療になる
- 術後の腫れや内出血が生じることがある
- 手術後に疼痛や腫脹などの症状が出現する可能性がある
ソケットリフト
サイナスリフトと同様に、骨の厚みを補う手法です。上顎洞を下から持ち上げ、顎の骨との間にできた隙間に骨充填を行います。インプラントを埋入する穴を開けたときに同時に行います。歯ぐきの切開の必要がありません。
※別途費用が55,000円(税込) ~上限額は状況によって変動する可能性があります。
- 治療期間
- 2ヵ月~4ヵ月
- 回数
- 2~3回
- 費用
- 55,000円~110,000円(税込)
Merit メリット
- 歯を削る量を抑えながら処置できる
- 骨を増やしながらインプラント埋入を同時にできる
- 術後の痛みや腫れが少ない
Demerit デメリット
- 保険が適用できないため自費診療になる
- 骨の厚みが最低5mm以上ないと適応できない
- 目視での手術が難しい
- 上顎洞を押し上げられる範囲に限界がある

GBR法
骨量が少ない部分に「メンブレン」と呼ばれる特殊な膜を入れ、骨の再生を促します。
※費用の中に追加料金も含まれています。
- 治療期間
- 3ヵ月~半年
- 回数
- 10回
- 費用
- 462,000円~495,000円(税込)
Merit メリット
- 骨量が少ない箇所でも、手術によりインプラント治療が可能になる
- 骨量を部分的に増やすことができる
- 骨量が増えるため、手術時のインプラント体の埋入が安定する
Demerit デメリット
- 十分な治癒期間が必要になり、治療期間が長引く可能性がある
- 自家骨を用いる際は、骨を削って採取する必要がある
- 外科手術により、患者様の体に負担がかかる
インプラント治療の流れ
- Flow01
ご相談・初診・カウンセリング
インプラント治療についてご説明します。また、お口の状況を診察し、治療についてのご希望を詳しくうかがいます。
- Flow02
精密検査
既往症や健康状態を問診でおたずねします。さらに、デジタルレントゲンや歯科用CT、口腔内カメラなど最新の設備を駆使し、インプラント治療が可能かどうかの精密検査を行います。
- Flow03
治療計画立案
精密検査の結果から、インプラント治療の可否を判断し、可能な場合には最適な治療計画を立案します。
- Flow04
インフォームド・コンセント
治療計画や治療方針、期間や費用も含め患者さんにわかりやすくご説明します。同意を得てから治療に入りますので、不明な点・心配な点などありましたら、遠慮なくおたずねください。
- Flow05
インプラント埋入手術
(一次手術)顎の骨に穴を空け、インプラントを埋入します。抜歯程度の手術です。局所麻酔を行いますので、痛みの心配はありません。
※当院では、電動麻酔器を用いたり表面麻酔を採用したりするなど、患者さんに痛みをできるだけ感じさせない工夫を行っています。 - Flow06
安静期間
顎の骨と人工歯根が結合するのを待ちます。個人差がありますが、一般的に下顎の方が早く2~3ヶ月、上顎は3~6ヶ月です。その間、3~4週間毎に定期検診のためご来院いただきます。
- Flow07
連結部装着手術(二次手術)
顎の骨と人工歯根の結合が確認できたら、人工歯根と人工歯をつなぐ連結部(アバットメント)を取り付けます。
- Flow08
安静期間
傷口が治癒するまで、再度安静期間を設けます。この間に人工歯を作製いたします。周囲の歯と形や色のバランスが自然になるよう、歯科技工士と連携してお作りします。
- Flow09
人工歯の装着
被せ物を装着するための土台を立て、被せ物を装着して歯の機能を補えば完成です。
治療後は、定期的なメインテナンスが不可欠です。お口の状況に応じて、最低でも半年に1回程度はご来院ください。
手術後のメインテナンス・ケアについて

インプラント治療で重要なのが、治療後のメインテナンスです。インプラント自体は人工物であるため半永久的に維持できますが、インプラントを支える歯周組織は天然物なので歯周病に似た「インプラント周囲炎」になってしまうことがあるのです。インプラント周囲炎になると、インプラントを支えきれず、せっかく入れたインプラントが抜け落ちてしまうことがあります。3~4ヵ月に1回のプロのチェックでインプラント周囲炎を防ぎ、脱落を防止しましょう。
よくある質問
- インプラントはどんな人におすすめですか?
- インプラントは、歯を失った方で入れ歯の装着に抵抗がある方、入れ歯を不便に感じる方、ブリッジを装着する為に健康な歯を削りたくない方におすすめしております。
- インプラントの治療期間はどれくらいですか?
- 個人差はありますが、1次手術から被せ物(インプラント上部構造)が入るまで3ヶ月から6ヶ月程度です。
- 治療費は全部でどれくらいですか?
- インプラントは自費診療のため埋入する本数や、治療内容によって料金が異なりますので、詳しくは担当医師にご相談ください。1本42万円(税別)〜です。
- インプラントの寿命はどのくらいですか?
- 10年後の平均残存率は90%以上ですが、インプラント治療で重要なのは、治療後のメンテナンスです。良好な状態を長期維持するためにも、定期的なメンテナンスとセルフケアが重要です。
- 術後は腫れや痛みは出ますか?
- 腫れや痛みは症例によって個人差があります。腫れのピークは術後2〜3日後で徐々に治っていきます。痛みは、術後麻酔が切れてから感じることがありますが、痛み止めを服用することで十分にコントロールできます。
- インプラントができない人はいますか?
- 全身状態や服薬状況、重度の歯周病に羅患している場合は注意が必要です。担当医師にご相談ください。
- インプラントをして、私生活に制限はかかりますか?
- 日常生活での注意点としては、喫煙です。喫煙は、歯周病(インプラント周囲炎)のリスクが高くなり、インプラントと骨の結合に悪影響を及ぼします。インプラントに希望される方は、禁煙が推奨されています。



